Monday, April 7, 2014

What's the diagnosis?


Courtesy of radiology assistant :

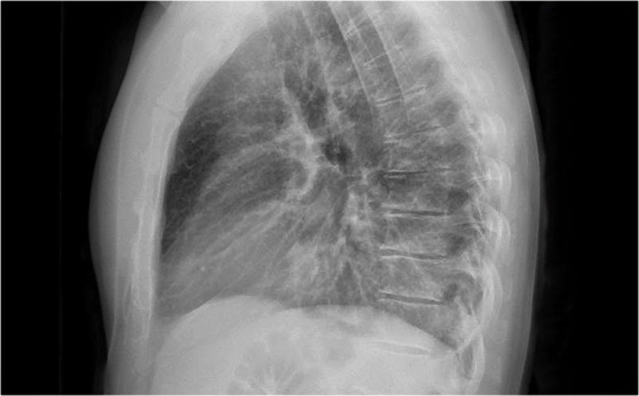
Patient has shortness of breath and purulent sputum. Lateral chest X ray is shown here. What does it show?

1 comment:

  1. more black sign pointing fluid, mass, consolidation..the lower vertebral bodies should be more radiolucent

    ReplyDelete